This was the best experience I’ve had at a dentists office. The office is fresh, new, and technologically advanced. Dr. Benes does an amazing job at explaining how our teeth age and how we can keep them in shape for years to come. Can anyone say mouth guard?! Her exam was incredibly informative and her follow up was even better. She sent on a video of my exam. From the inside of my mouth. Wow! You can tell that Dr. Benes loves what she does and has passion for evolving the profession for years to come. I know where I’m going for my cleanings going forward. :-)
I switched to 32 & U at a friend’s recommendation after having a bad experience at a dentist in my own neighborhood. Sooo worth the extra time to get there from Lakeview. Genuinely the best dentist I’ve ever been to; I feel like sometimes dentists can be judgmental but she was so kind and easygoing. Maya made me feel so comfortable after I came in nervous and now I’m way less scared to go back. She even put on my favorite music! I thought it was weird that my friend felt so strongly about how great her dentist is but I seriously get it now! The facilities/equipment are also super nice and new. Can’t recommend highly enough.
Excellent facility. Clean. Welcoming. Modern. The technology and procedures are very up to date. Street parking available. Easy to find. Neighborhood is great. Dr. Benes and her team are wonderful. Dr. Benes is caring, professional, and is up to date in her practice. She is confident and energetic. I would highly recommend going to Dr. Benes.
They team is very welcoming. The team is great at communicating to schedule a visit. Go ahead and schedule that visit!
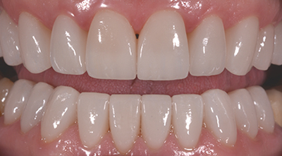
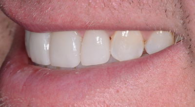
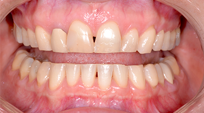
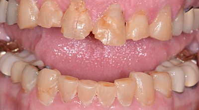
Amazing ,,,, A dentist who is patient, explains the process and uses new updated technology in a NEW & modern office!!!! gave me a smile I all but gave up on in a matter of weeks, which took other dentist years of run around...You will not regret choosing 32 & U best dentist in the Chicago area